The Art of the Smile

Transformations
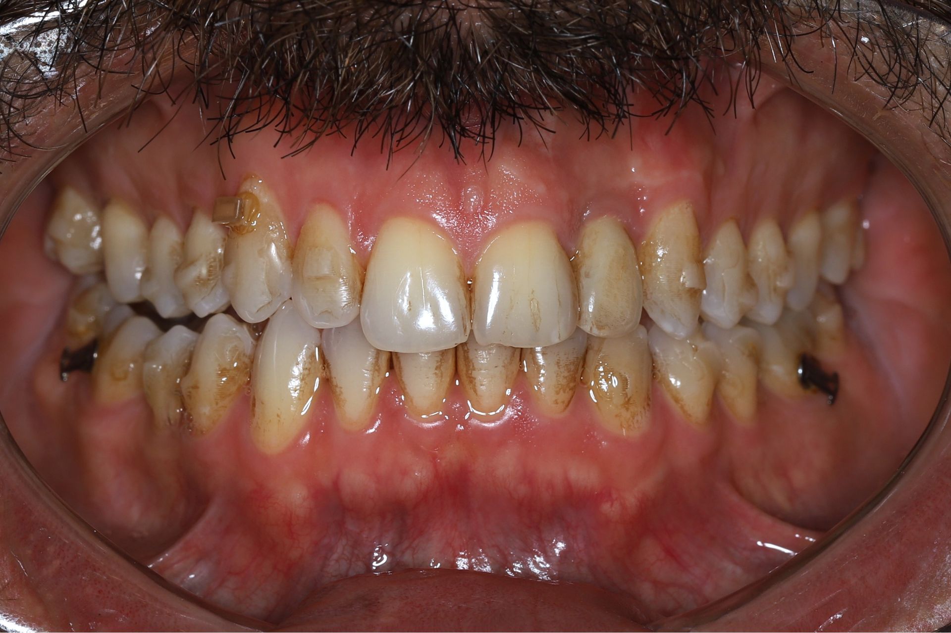
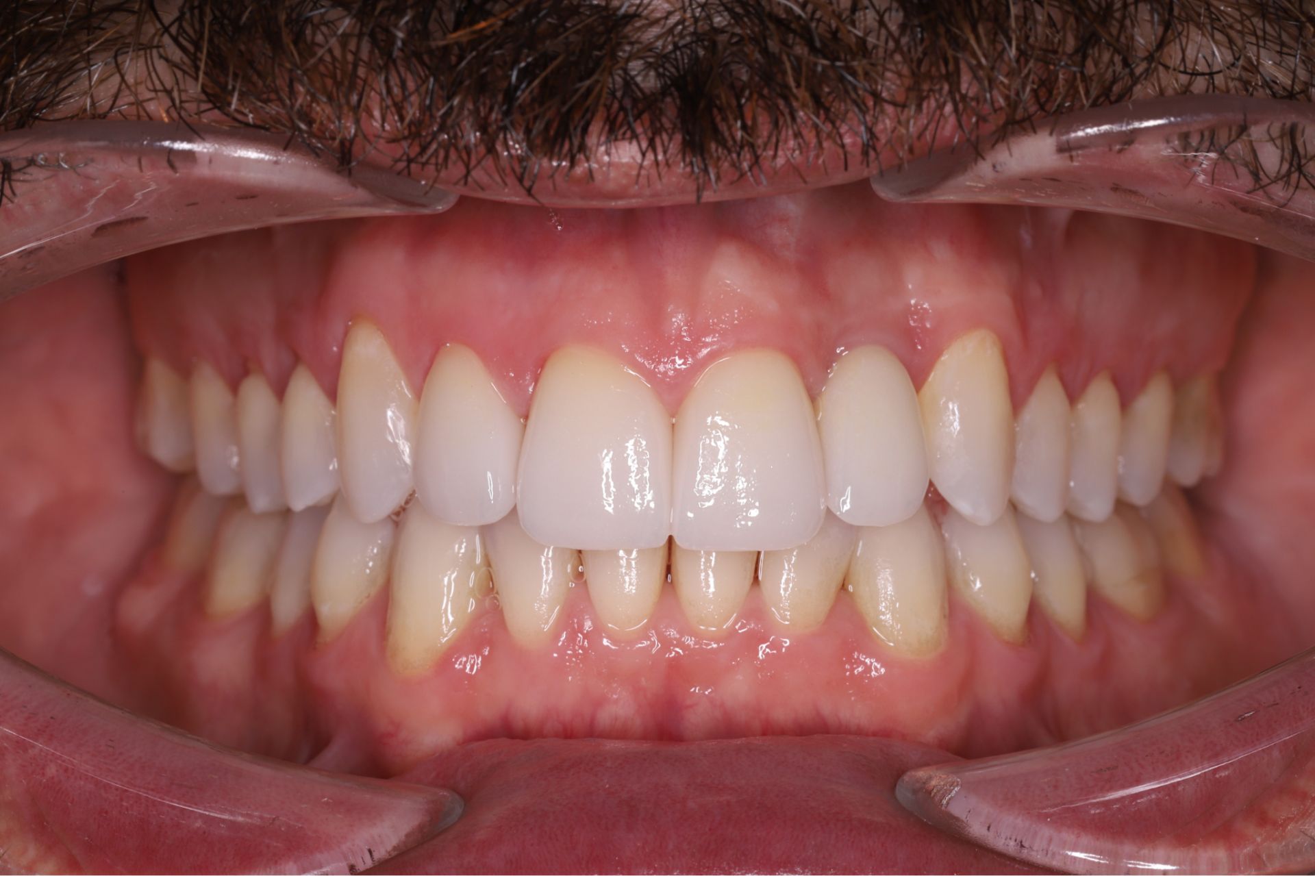
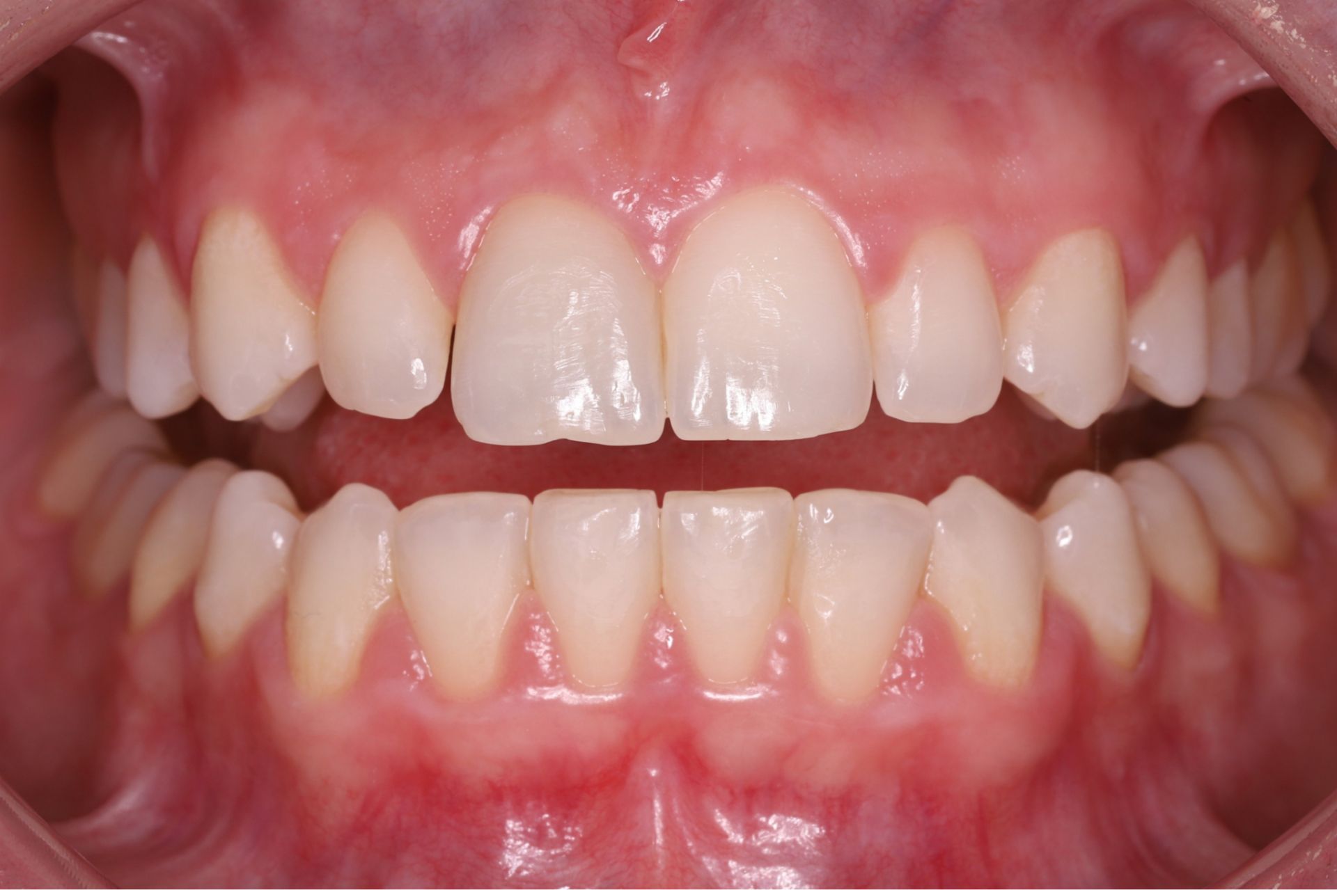
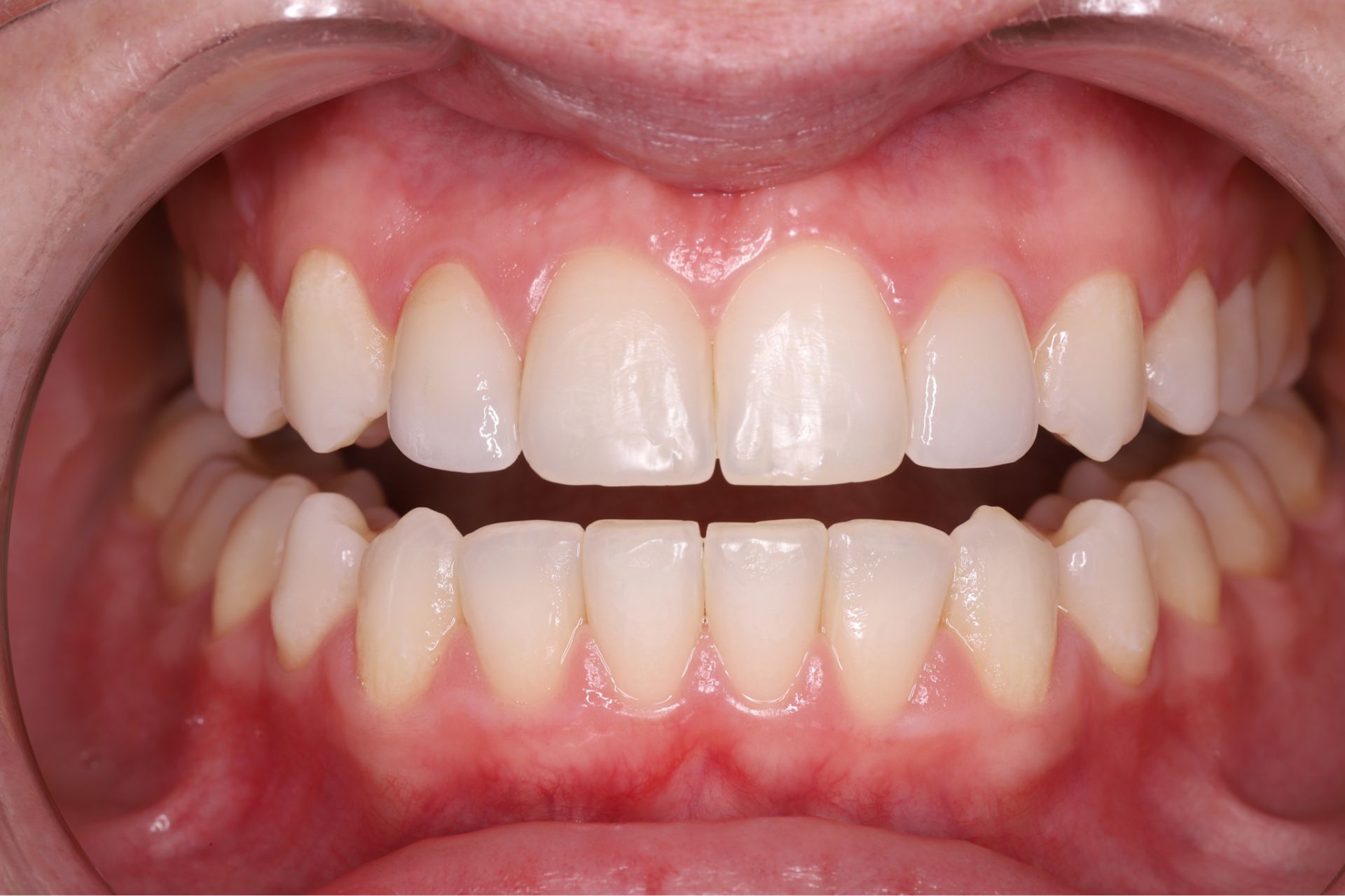
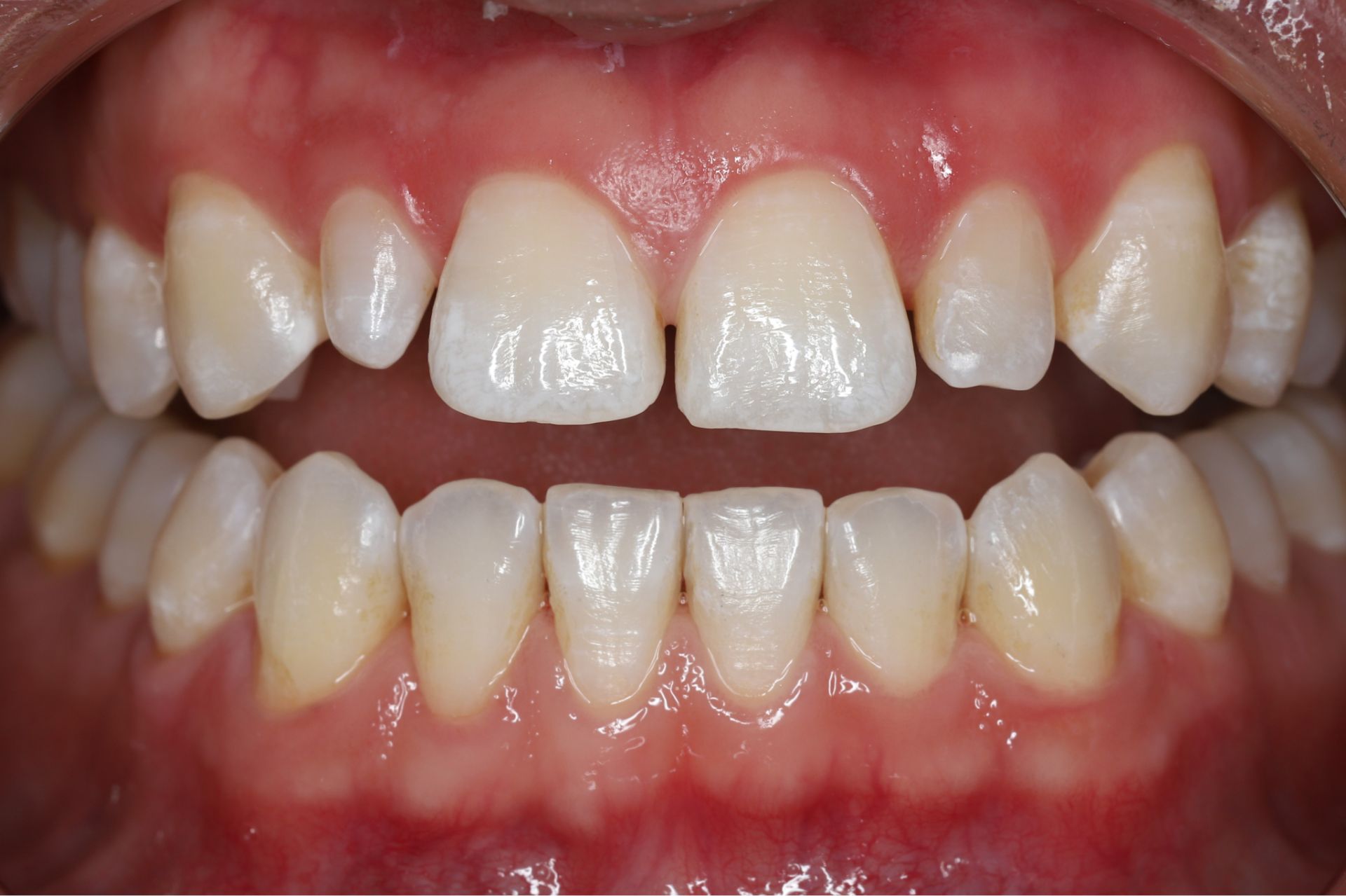
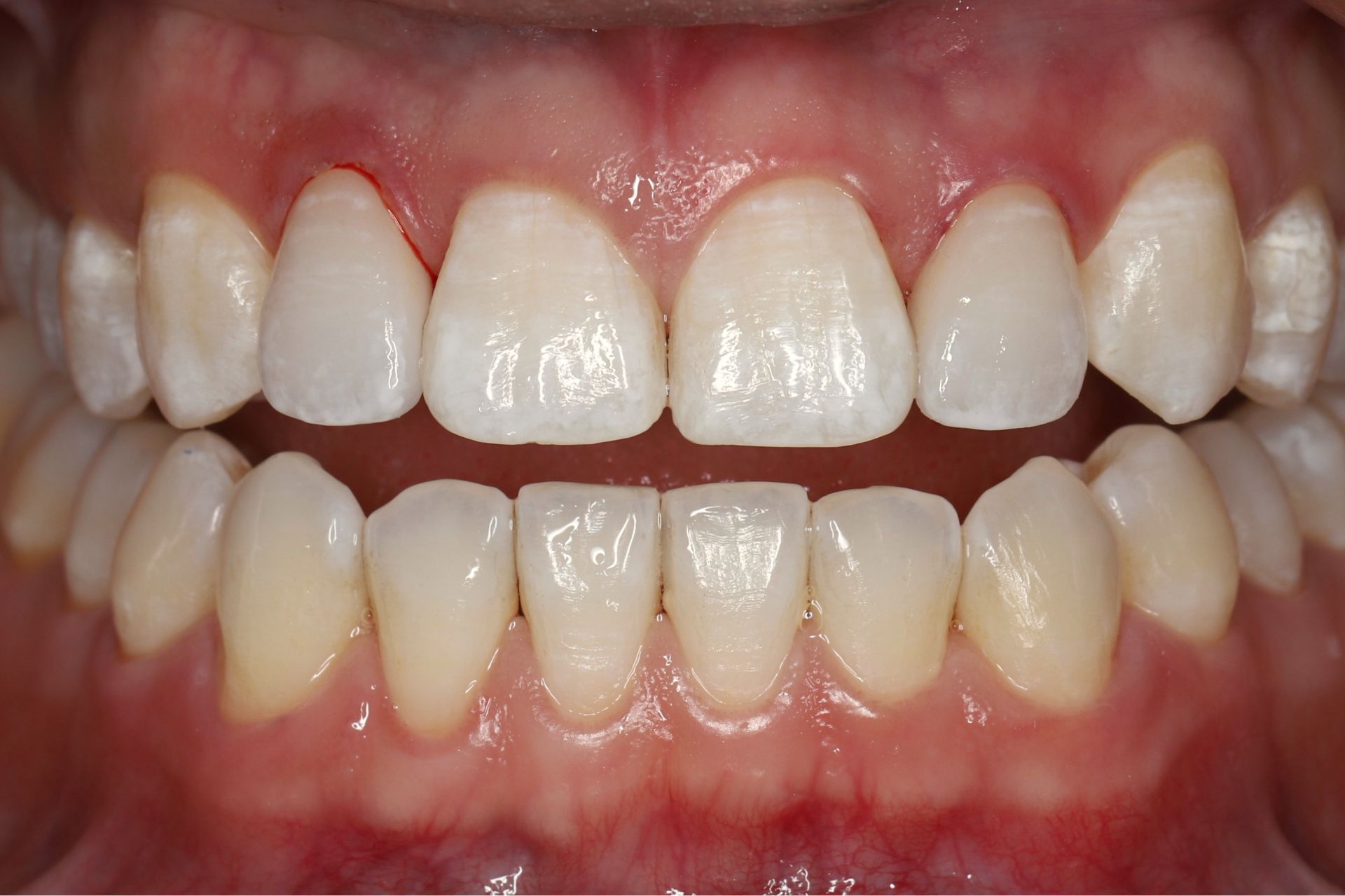
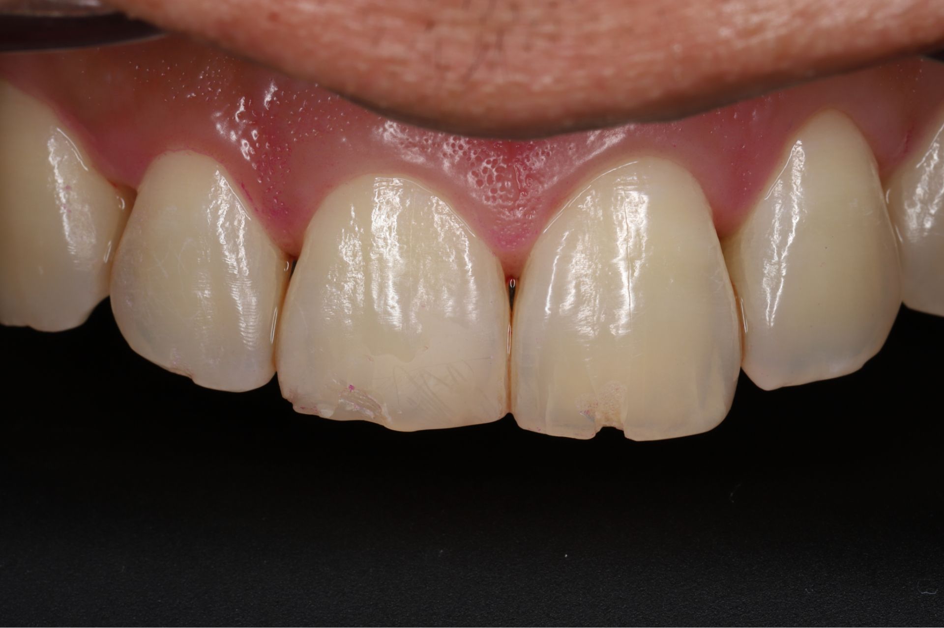
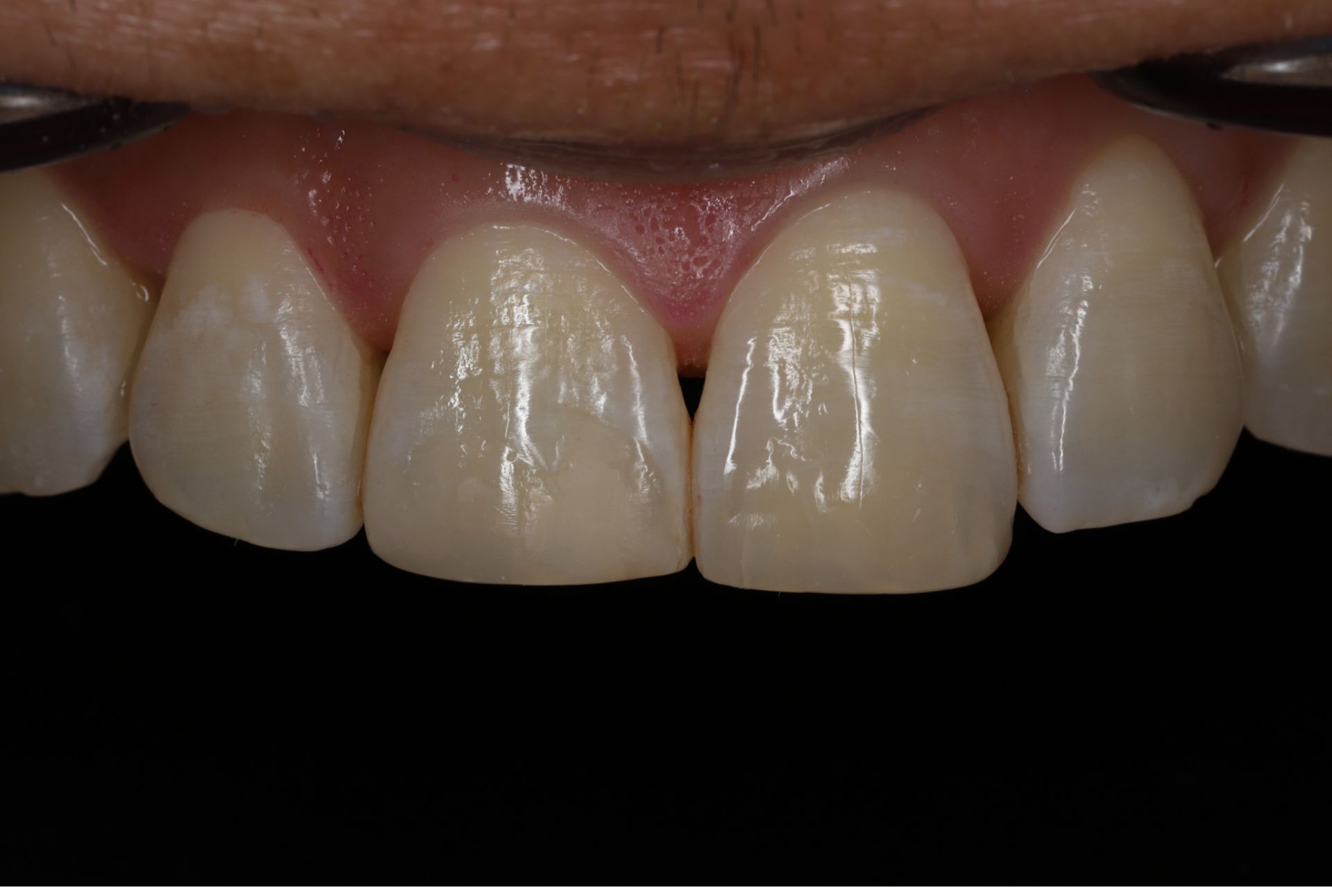
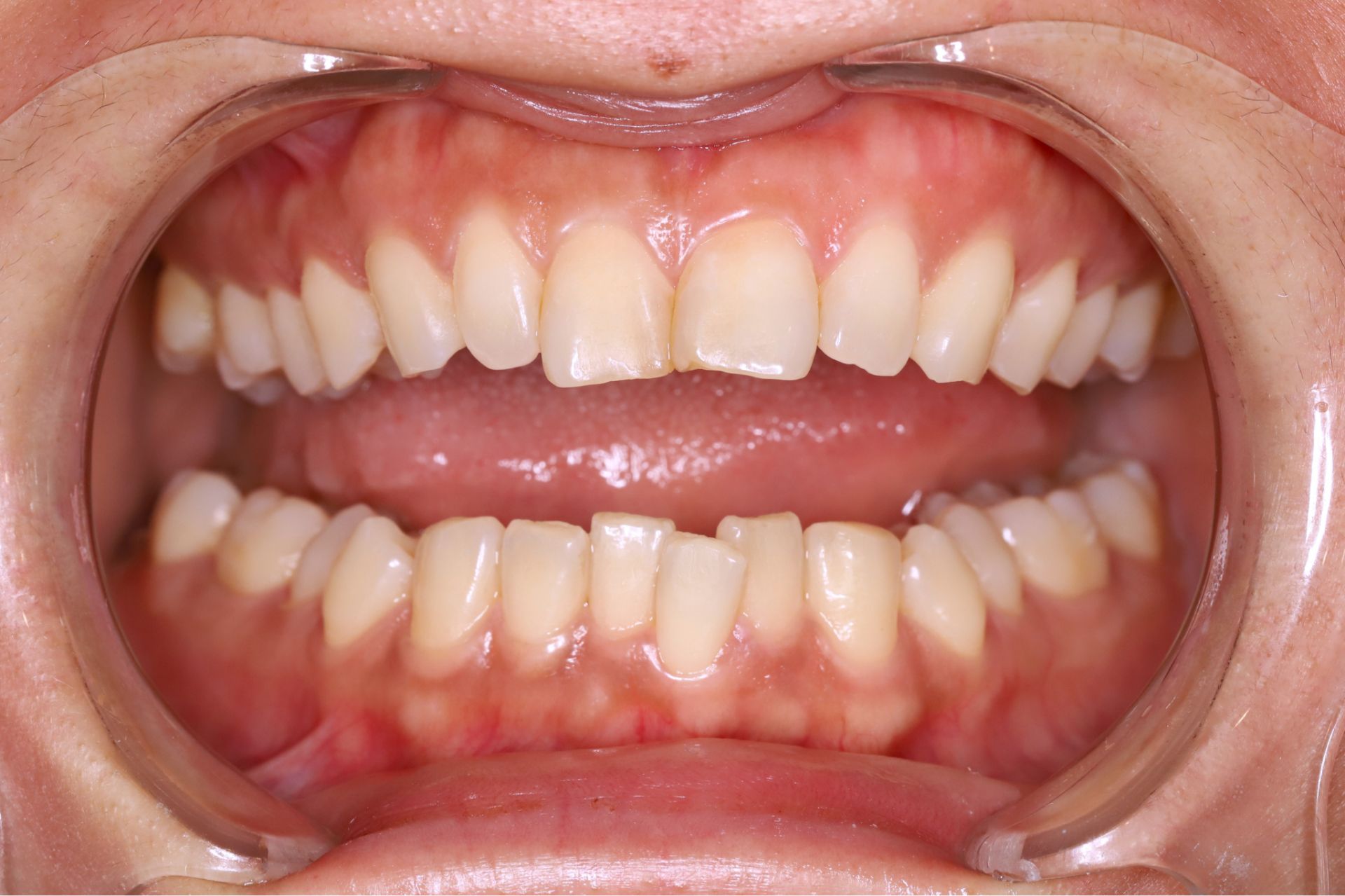
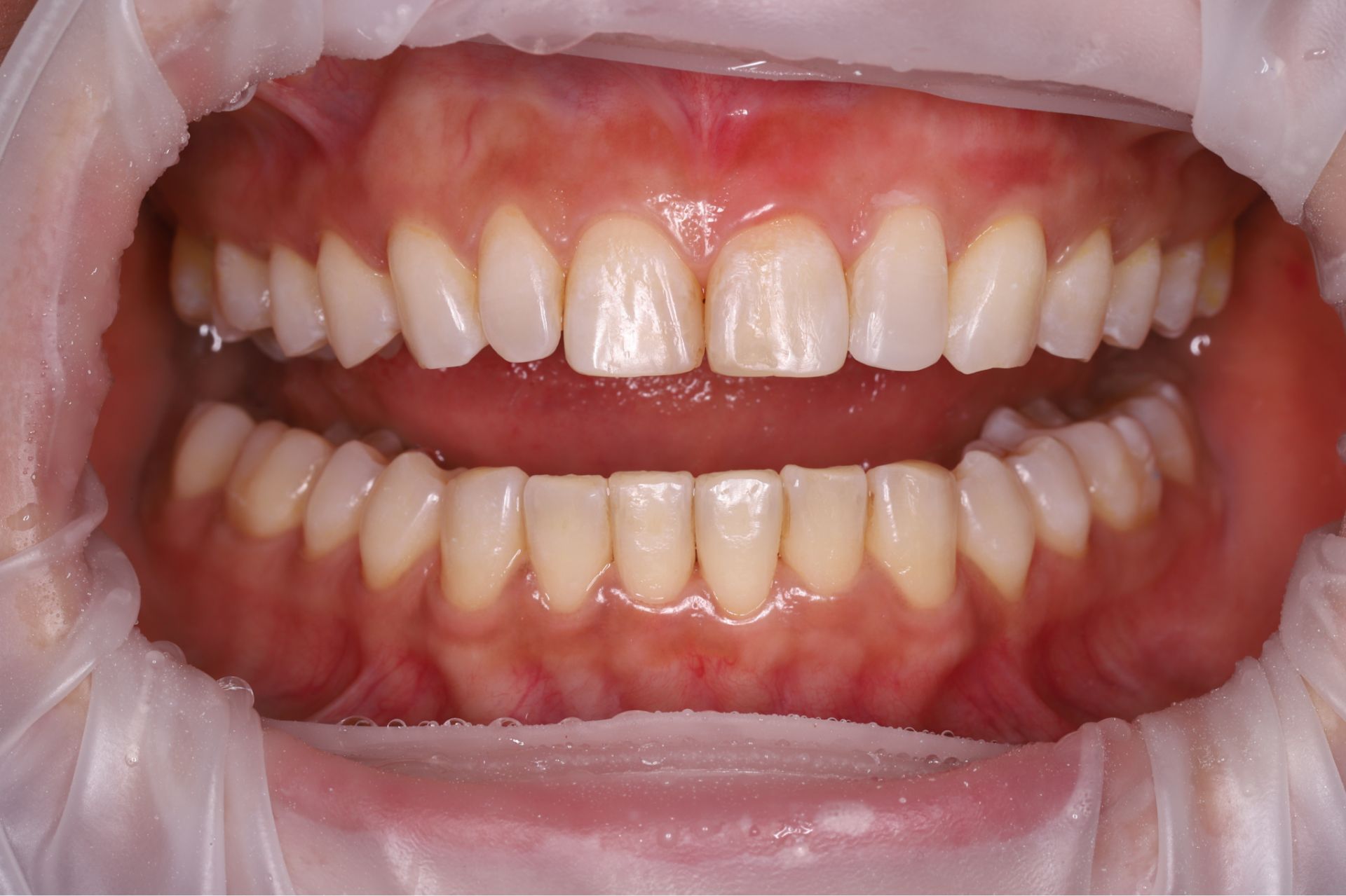
Before and After Transformations
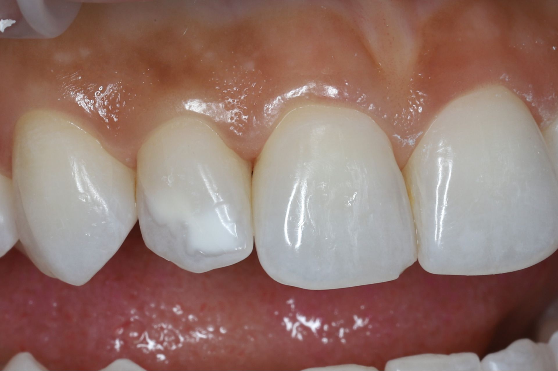
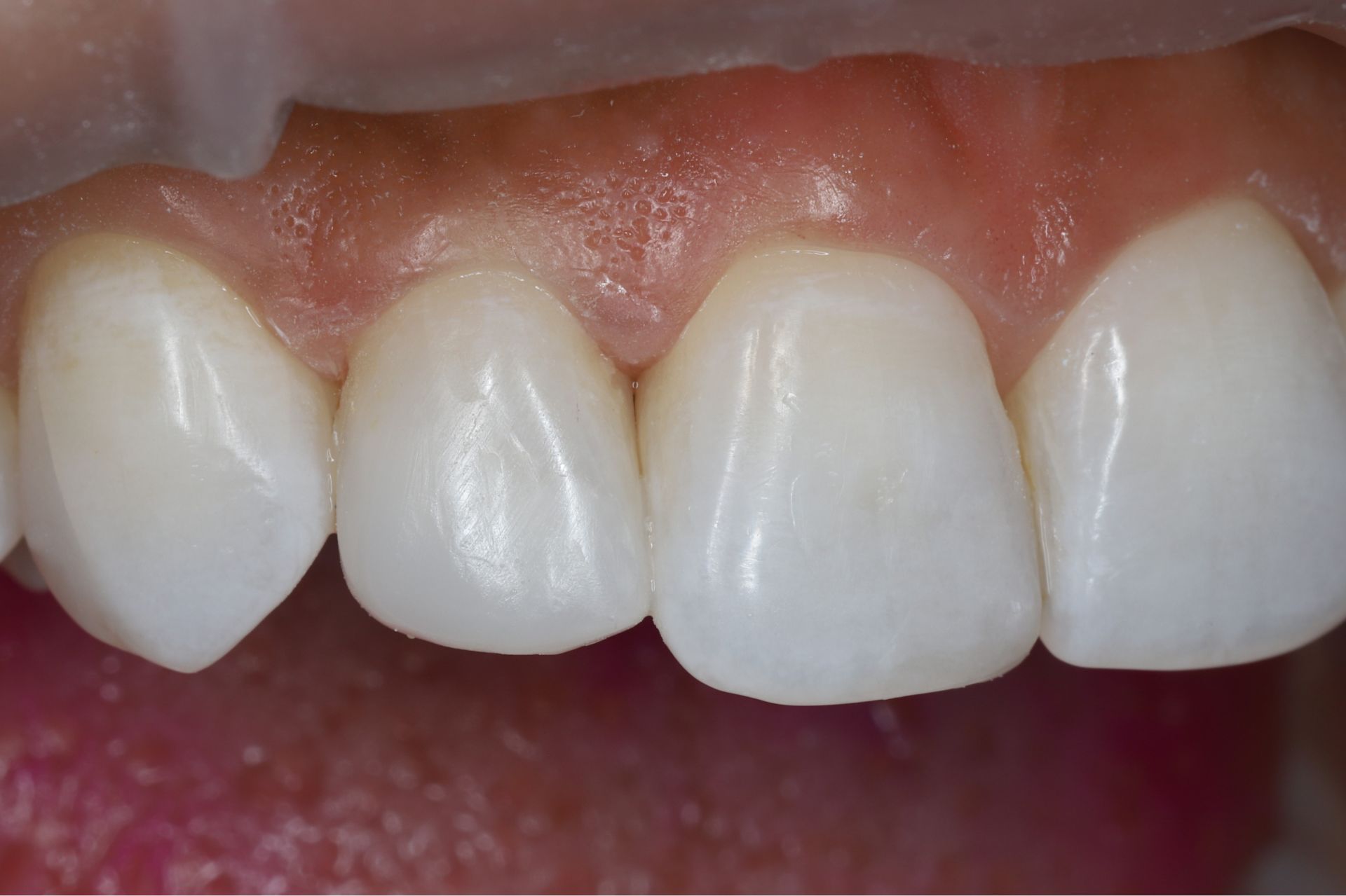
Porcelain Veneers
Beautiful, natural-looking results.
Michael


lexy


DC


Ready for your new smile. Get started today.
schedule
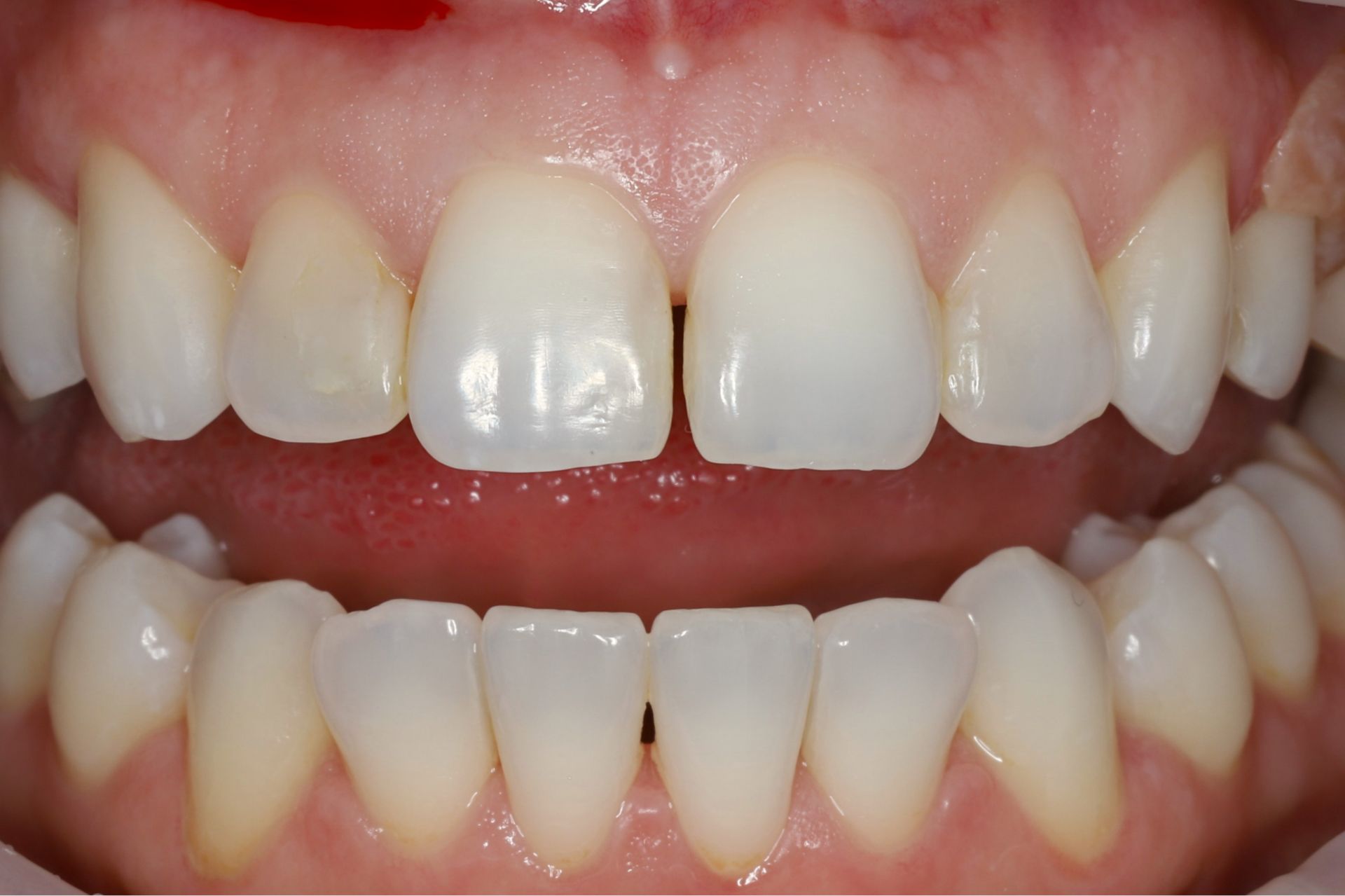
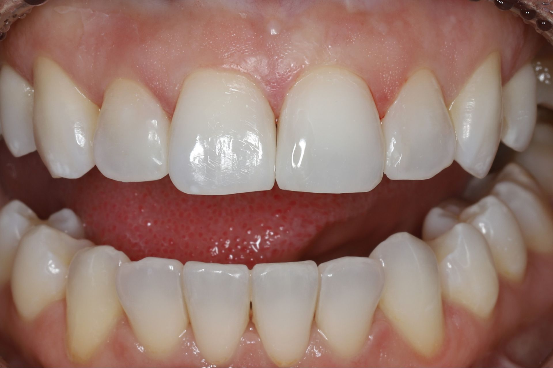
Cosmetic Bonding
One visit. One refreshed smile.
PH


DY


LB


ZF


Take the first step toward your best smile.
schedule
Invisalign® Clear Aligners
Wire-free smile transformation.
LQ


DM


Take the first step toward your best smile.
schedule
Implant Restorations
Live, laugh, and eat without the worry.
AL


Take the first step toward your best smile.
schedule
Connect
Connect with Us
We can’t wait to meet you!
Call 415-523-4939 or request an appointment online to set up your first visit. We’ll be in touch soon.
schedule
location & hours